Description
Size quantity : 1-EA
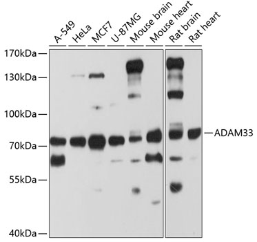
Description : This gene encodes a member of the ADAM (a disintegrin and metalloprotease domain) family. Members of this family are membrane-anchored proteins structurally related to snake venom disintegrins, and have been implicated in a variety of biological processes involving cell-cell and cell-matrix interactions, including fertilization, muscle development, and neurogenesis. This protein is a type I transmembrane protein implicated in asthma and bronchial hyperresponsiveness. Alternative splicing results in multiple transcript variants encoding different isoforms.


