Description
Size quantity : 1-EA
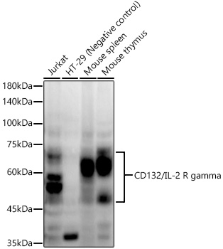
Description : The protein encoded by this gene is an important signaling component of many interleukin receptors, including those of interleukin -2, -4, -7 and -21, and is thus referred to as the common gamma chain. Mutations in this gene cause X-linked severe combined immunodeficiency (XSCID), as well as X-linked combined immunodeficiency (XCID), a less severe immunodeficiency disorder.


