Description
Size quantity : 1-EA
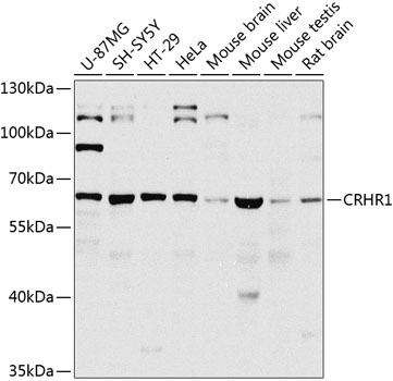
Description : This gene encodes a G-protein coupled receptor that binds neuropeptides of the corticotropin releasing hormone family that are major regulators of the hypothalamic-pituitary-adrenal pathway. The encoded protein is essential for the activation of signal transduction pathways that regulate diverse physiological processes including stress, reproduction, immune response and obesity. Alternative splicing results in multiple transcript variants. Naturally-occurring readthrough transcription between this gene and upstream GeneID:147081 results in transcripts that encode isoforms that share similarity with the products of this gene.


