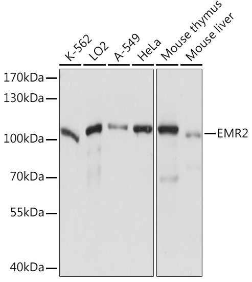
Description
This gene encodes a member of the class B seven-span transmembrane (TM7) subfamily of G-protein coupled receptors. These proteins are characterized by an extended extracellular region with a variable number of N-terminal epidermal growth factor-like domains coupled to a TM7 domain via a mucin-like spacer domain. The encoded protein is expressed mainly in myeloid cells where it promotes cell-cell adhesion through interaction with chondroitin sulfate chains. This gene is situated in a cluster of related genes on chromosome 19. Alternatively spliced transcript variants encoding multiple isoforms have been observed for this gene.


