Description
Size quantity : 1-EA
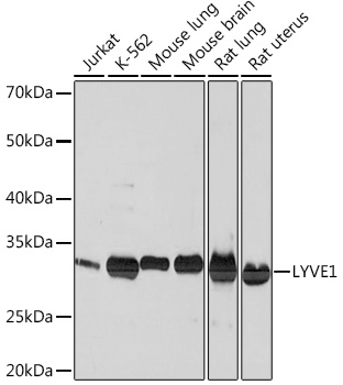
Description : This gene encodes a type I integral membrane glycoprotein. The encoded protein acts as a receptor and binds to both soluble and immobilized hyaluronan. This protein may function in lymphatic hyaluronan transport and have a role in tumor metastasis.


