Description
Size quantity : 1-EA
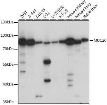
Description : This gene encodes a member of the mucin protein family. Mucins are high molecular weight glycoproteins secreted by many epithelial tissues to form an insoluble mucous barrier. The C-terminus of this family member associates with the multifunctional docking site of the MET proto-oncogene and suppresses activation of some downstream MET signaling cascades. The protein features a mucin tandem repeat domain that varies between two and six copies in most individuals. Multiple variants encoding different isoforms have been found for this gene. A related pseudogene, which is also located on chromosome 3, has been identified.


