Description
Size quantity : 1-EA
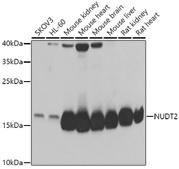
Description : This gene encodes a member of the MutT family of nucleotide pyrophosphatases, a subset of the larger NUDIX hydrolase family. The gene product possesses a modification of the MutT sequence motif found in certain nucleotide pyrophosphatases. The enzyme asymmetrically hydrolyzes Ap4A to yield AMP and ATP and is responsible for maintaining the intracellular level of the dinucleotide Ap4A, the function of which has yet to be established. This gene may be a candidate tumor suppressor gene. Alternative splicing has been observed at this locus and four transcript variants, all encoding the same protein, have been identified.


