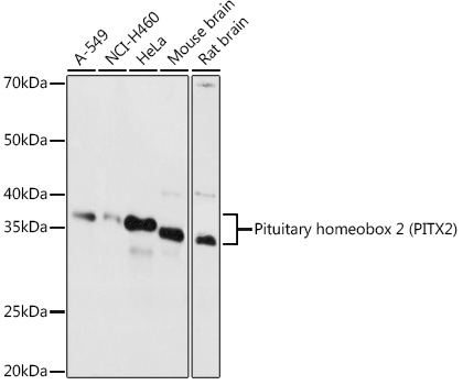
Description
This gene encodes a member of the RIEG/PITX homeobox family, which is in the bicoid class of homeodomain proteins. The encoded protein acts as a transcription factor and regulates procollagen lysyl hydroxylase gene expression. This protein plays a role in the terminal differentiation of somatotroph and lactotroph cell phenotypes, is involved in the development of the eye, tooth and abdominal organs, and acts as a transcriptional regulator involved in basal and hormone-regulated activity of prolactin. Mutations in this gene are associated with Axenfeld-Rieger syndrome, iridogoniodysgenesis syndrome, and sporadic cases of Peters anomaly. A similar protein in other vertebrates is involved in the determination of left-right asymmetry during development. Alternatively spliced transcript variants encoding distinct isoforms have been described.


