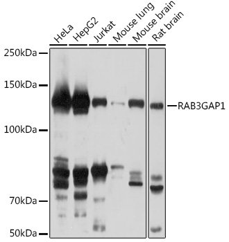
Description
This gene encodes the catalytic subunit of a Rab GTPase activating protein. The encoded protein forms a heterodimer with a non-catalytic subunit to specifically regulate the activity of members of the Rab3 subfamily of small G proteins. This protein mediates the hydrolysis of GTP bound Rab3 to the GDP bound form. Mutations in this gene are associated with Warburg micro syndrome. Alternate splicing results in multiple transcript variants.


