Description
Size quantity : 1-EA
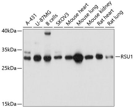
Description : This gene encodes a protein that is involved in the Ras signal transduction pathway, growth inhibition, and nerve-growth factor induced differentiation processes, as determined in mouse and human cell line studies. In mouse, the encoded protein was initially isolated based on its ability to inhibit v-Ras transformation. Multiple alternatively spliced transcript variants for this gene have been reported; one of these variants was found only in glioma tumors.


