Description
Size quantity : 1-EA
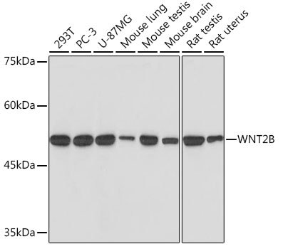
Description : This gene encodes a member of the wingless-type MMTV integration site (WNT) family of highly conserved, secreted signaling factors. WNT family members function in a variety of developmental processes including regulation of cell growth and differentiation and are characterized by a WNT-core domain. This gene may play a role in human development as well as carcinogenesis. Alternative splicing results in multiple transcript variants.


